Neue Erkenntnisse aus Österreichisch-Schweizer Multicenterstudie:
Erstmals klare Entscheidungskriterien für die Therapieanpassung bei Multipler Sklerose
Die Ergebnisse einer neuen Multicenterstudie zu Multipler Sklerose könnten die Therapie dieser chronisch entzündlichen Erkrankung entscheidend verbessern. Forschende der Medizinischen Universitäten Innsbruck und Wien sowie des Inselspitals, Universitätsspital Bern belegen, dass zwei oder mehr in der Magnetresonanztomographie (MRT) sichtbare Läsionen im Gehirn innerhalb eines Jahres für eine Therapieintensivierung sprechen. Damit liegen erstmals eindeutige und evidenzbasierte Kriterien für eine Therapieanpassung vor.
Pressebilder zum Downloaden:
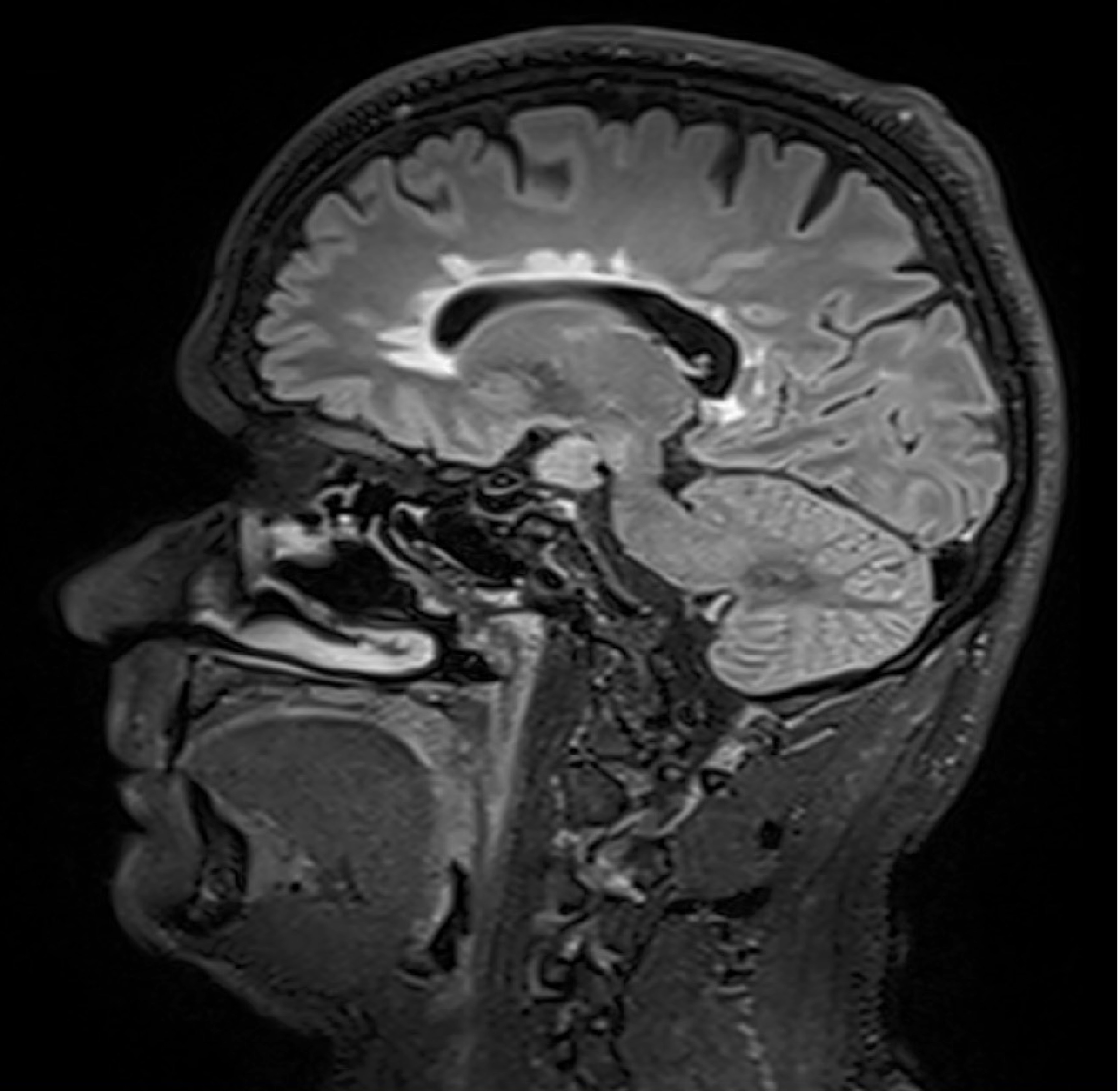
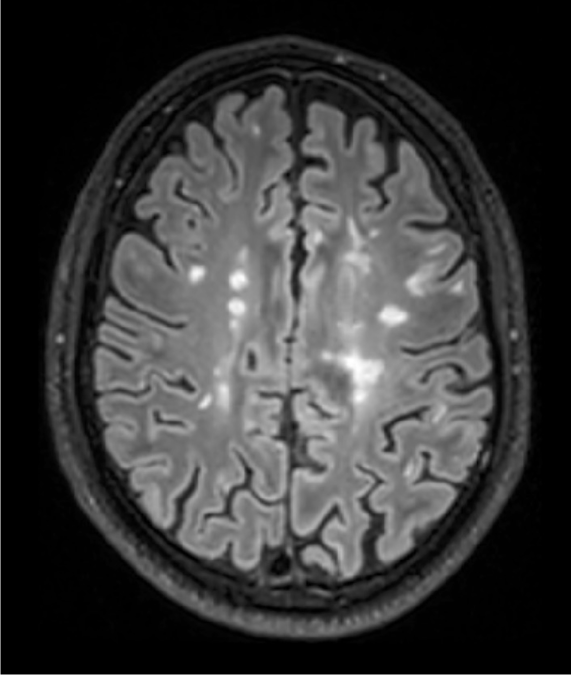
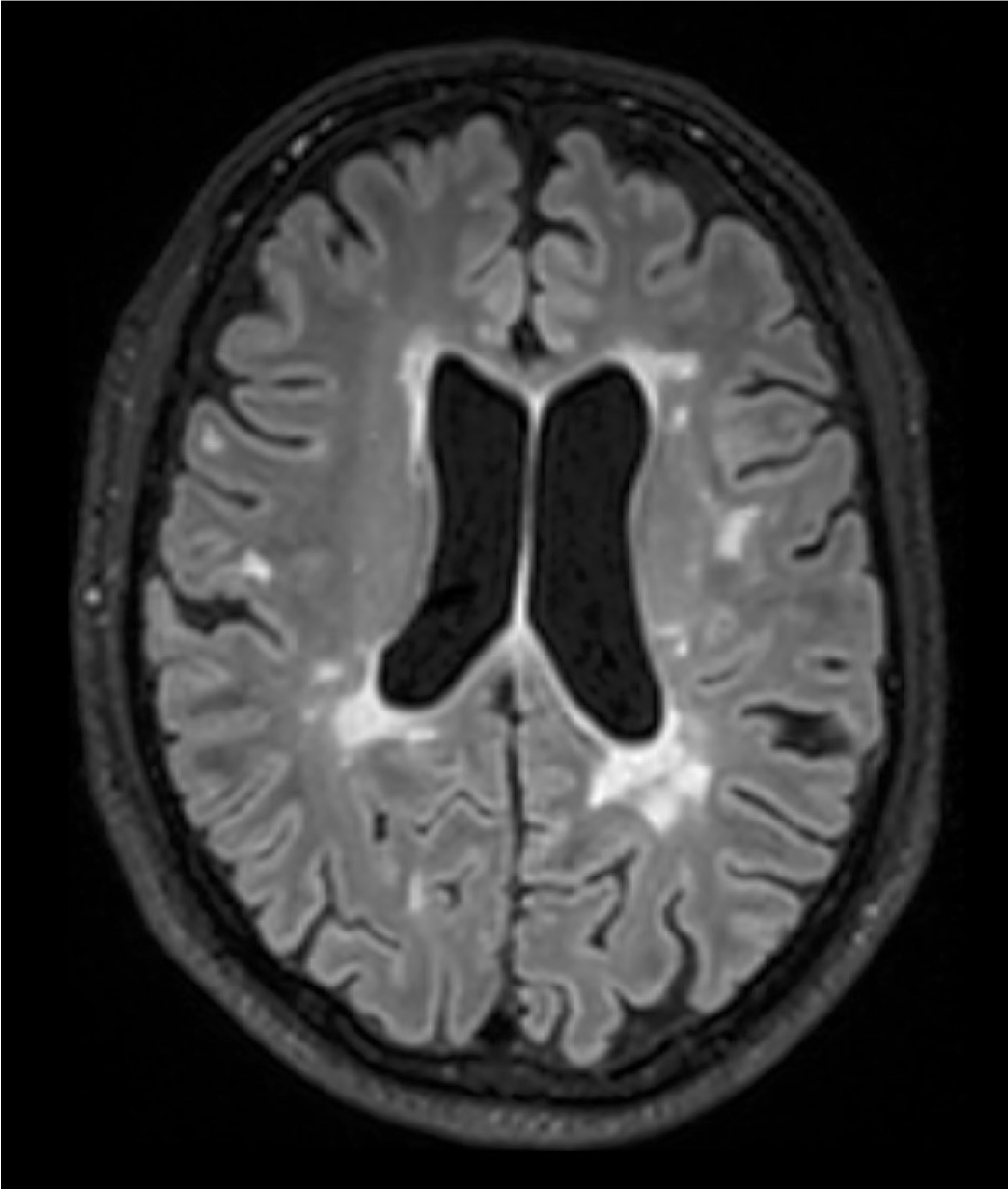
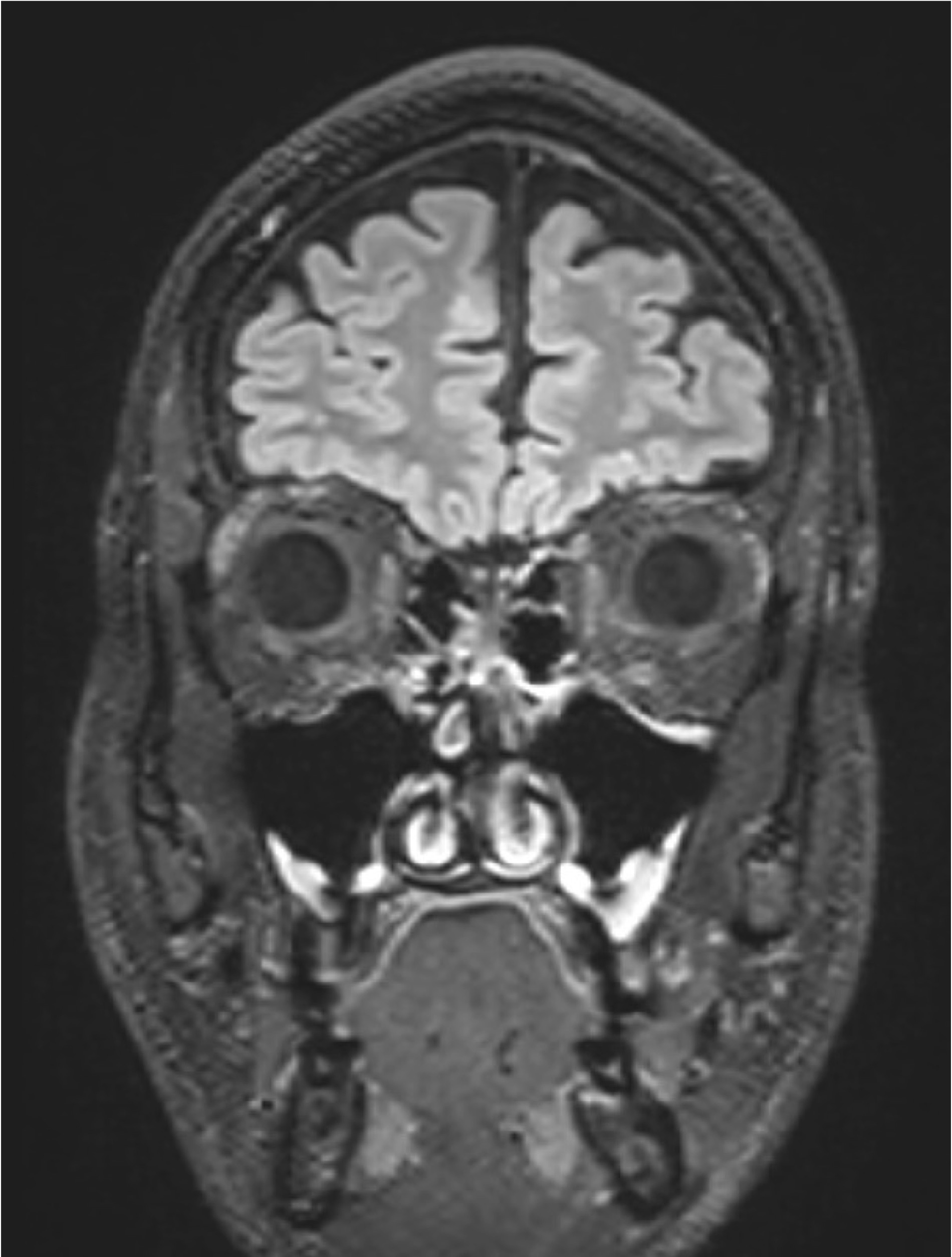
BU: Die Aufnahmen aus der Magnetresonanztomographie zeigen einen jungen Patienten mit Multipler Sklerose mit mehreren entzündlichen Läsionen des Gehirns. (© Radiologie Innsbruck)
Innsbruck, Wien, Bern, 10. September 2024: Für die neurologische Erkrankung Multiple Sklerose* (MS) stehen seit einigen Jahren eine Reihe von Therapiemöglichkeiten zur Verfügung, die das Ausmaß der Entzündungsreaktion und damit einhergehend die Beschwerden der Patient:innen auch bei schweren Verläufen günstig beeinflussen können. So können die Entwicklung sogenannter Krankheitsschübe und eine permanente Behinderung eingedämmt werden.
Abseits klinischer Symptome, die von Einschränkungen des Sehvermögens bis hin zu Lähmungserscheinungen ein breites Spektrum umfassen, kann die Krankheitsaktivität bei MS auch bildgebend dargestellt werden. „Der Nachweis entzündlicher Läsionen im Gehirn mittels MRTerlaubt auch eine Einschätzung geringerer Krankheitsaktivität, denn vermeintlich stabile Patient:innen können trotz Therapie weiterhin neue, klinisch stumme, entzündliche Veränderungen entwickeln“, weiß Neuroimmunologe Harald Hegen, der an der Innsbrucker Univ.-Klinik für Neurologie bereits seit vielen Jahren zu MS forscht.
Ob die MS-Therapie schon auf Basis der reinen MRT-Diagnostik angepasst werden soll bzw. wie viele Läsionen im MRT ausschlaggebend sind, konnte nun erstmals im Rahmen einer retrospektiven Studie unter der gemeinsamen Führung der neurologischen Universitätskliniken Innsbruck, Wien und Bern geklärt werden. Neurology, das medizinische Journal der „American Academy of Neurology” berichtet über die weitreichenden Erkenntnisse.
In die Studienkohorte wurden 131 MS-Patient:innen aus MS-Zentren in Österreich und der Schweiz eingeschlossen, die unter einer gering- bis moderat-effektiven Immuntherapie zwölf Monate lang klinisch stabil waren und dann einer MRT unterzogen wurden. „Wir konnten zeigen, dass Patient:innen mit schubförmiger MS, die unter Immuntherapie zwei oder mehr neue entzündliche MRT-Läsionen innerhalb eines Jahres entwickeln, auch bei klinischer Stabilität, also ohne Symptome, von einem Wechsel auf eine hoch-effektive Immuntherapie profitieren“, beschreibt Erstautor Gabriel Bsteh von der Medizinischen Universität Wien die zentrale Erkenntnis. Damit liefert die Studie eine für den klinischen Alltag wichtige Erkenntnis, die für die individuelle Therapieanpassung genutzt werden sollte.
„Nachdem Läsionen oft schon vor dem Auftreten klinischer Symptome in der MRT sichtbar sind, ermöglicht eine bildgebende Kontrolle bei Patient:innen mit einer gering- bis moderat-effektiven Therapie ein frühes Eingreifen in den individuellen Krankheitsverlauf“, betont Studienleiter Harald Hegen. In der Studienkohorte waren rund 40 Prozent der Patient:innen klinisch stabil, zeigten allerdings in der MRT schon eine oder mehrere Läsionen. Bislang war in der klinischen Praxis eine Therapieverstärkung nur nach Auftreten klinisch manifester Symptome angezeigt.
Die Multicenterstudie, deren Ergebnisse in künftige Empfehlungen von Therapie-Leitlinien einfließen sollen, ist ein Leuchtturmprojekt einer über die letzten Jahre stetig weiterentwickelten Kooperation von MS-Zentren in Österreich und der Schweiz. „Wir verfügen zusammen über eine umfassende Datenbank von mehr als 8.000 MS-Patient:innen. Solche multizentrischen Kooperationen legen die notwendige Basis an Fallzahl und Datenqualität für eine Vielzahl weiterer Projekte zur Verbesserung der Versorgung von MS-Patient:innen“, schließt Neurologe Gabriel Bsteh.
*Multiple Sklerose, eine chronisch entzündliche Erkrankung des zentralen Nervensystems, ist die häufigste neurologische Erkrankung, die im jungen Erwachsenenalter zu bleibender Behinderung führt. Dabei kommt es zu entzündlichen Veränderungen im zentralen Nervensystem (Gehirn und Rückenmark). Lähmungen, Sensibilitätsdefizite, Gleichgewichtsstörungen, Sehstörungen, Gehbehinderung sowie kognitive Beeinträchtigungen können die Folge sein.
Zur Forschungsarbeit:
Association of disease-modifying treatment with outcome in patients with relapsing multiple sclerosis and isolated MRI activity. G. Bsteh et al., Neurology, August 28, 2024
https://doi.org/10.1212/WNL.0000000000209752
PR & Medien
Medienkontakte:
Medizinische Universität Innsbruck
Public Relations und Medien
Doris Heidegger
Innrain 52, 6020 Innsbruck, Austria
Telefon: +43 512 9003 70083
public-relations@i-med.ac.at, www.i-med.ac.at
Medizinische Universität Wien
Kommunikation und Öffentlichkeitsarbeit
Karin Kirschbichler
Spitalgasse 23, 1090 Wien, Austria
Telefon: +4311 40160 11505
pr@meduniwien.ac.at, www.meduniwien.ac.at/pr
Medienstelle Insel Gruppe
Telefon: +41 31 632 79 25
kommunikation@insel.ch




