Innsbrucker Forscher:innen finden neuen Therapieansatz für schwere alkoholbedingte Leberentzündung
- Alkoholische Hepatitis bislang nicht therapierbar
- Protein spielt entzündungsfördernde Rolle
- Erkenntnisse liefern Ansatz für neue Therapie
Neue entzündungsbiologische Erkenntnisse aus dem Team um Univ.-Prof. Dr. Herbert Tilg von der Medizinischen Universität Innsbruck könnten die Grundlage für eine effiziente Behandlung der alkoholbedingten Hepatitis liefern. Die schwerwiegende Entzündung führt als Folge einer jahrelangen Alkoholerkrankung in 50 Prozent der Fälle binnen kurzer Zeit zum Tod. Bis heute gibt es abseits einer nur in wenigen Fällen in Frage kommenden Lebertransplantation keine wirksame Therapie.
Innsbruck, 04.02.2016: Lipocalin 2 (LCN2) heißt das kleine Protein, das sich nach der Forschungsarbeit des Teams um den Gastroenterologen Herbert Tilg als neuer, vielversprechender Angriffspunkt für die Therapie der alkoholischen Hepatitis erweisen könnte. Herbert Tilg ist Direktor der Univ.-Klinik für Innere Medizin I an der Medizinischen Universität Innsbruck und ausgewiesener Experte auf dem Gebiet der gastroenterologischen Entzündungsbiologie. „Eine akute alkoholische Hepatitis tritt im Rahmen einer schweren Alkoholerkrankung auf, wenn die Leber bereits vorgeschädigt, also das Gewebe vernarbt ist. Fieber, Gelbsucht und ein extrem schlechter Allgemeinzustand begleiten die Entzündungsvorgänge, die die Leberfunktion zusätzlich verschlechtern. Kortison ist die Therapie der Wahl, kann die Entzündung aber nicht mehr stoppen. Eine wirksame, lebensrettende Behandlung ist daher dringend erforderlich“, weiß Prof. Tilg aus klinischer Erfahrung.
Kleines Protein als therapierelevanter Akteur
In ihrer kürzlich im renommierten Magazin Journal of Hepatology veröffentlichten und in Nature Reviews Gastroenterology & Hepatology hervorgehobenen Forschungsarbeit interessierten sich die Innsbrucker Wissenschafter:innen nun für jene Akteure und Steuerungsmechanismen, die zu dieser schweren Form der Leberentzündung führen. „Wir wussten, dass die Leber in diesem chronisch entzündlichen Stadium von bestimmten weißen Blutkörperchen, den neutrophilen Granulozyten, überschwemmt ist und dass LCN2, ein kleines, aus weißen Blutkörperchen gebildetes Eiweiß, eine relevante Rolle bei Entzündungsprozessen spielt“, berichtet Erstautorin Verena Wieser, die in ihrer Arbeit von Kolleginnen der Univ.-Klinik für Innere Medizin VI unterstützt wurde. Die Forscher:innen verglichen zunächst Lebergewebe von Alkohol-Hepatitis Patient:innen mit Lebergewebe von Patient:innen mit nicht-alkoholischer Fettleber und stellten fest, dass LCN2 nur im Gewebe von Alkohol-Hepatitis Patient:innen hoch exprimiert ist.
Ob es sich dabei um ein Nebenphänomen oder ein krankheitsrelevantes Ereignis handelt, konnte in einem seit vielen Jahren etablierten alkoholischen Lebermodell in der Maus überprüft werden. „Wir konnten sehen“, so Prof. Tilg, „dass LCN2-Knockout-Mäuse trotz Alkohol-Gabe vor Hepatitis geschützt blieben, also nicht krank wurden“. In einer Antikörper-Studie wurde zudem nachgewiesen, dass die Blockade von LCN2 eine Infiltration durch neutrophile Granulozyten weitgehend verhindert. Damit dürfte ein neuer und innovativer Therapiezugang für dieses späte und mit hoher Mortalität assoziierte Stadium der Alkoholerkrankung gefunden sein.
LCN2 spielt in der Entstehung dieser letalen Erkrankung also eine essentielle Rolle, erfüllt grundsätzlich aber auch immunmodulierende Funktionen. „Dieser Umstand muss bei der pharmakologischen Weiterentwicklung und Nutzung im Sinne einer genau abgestimmten Antikörper-Therapie mitberücksichtigt werden“, schließt Prof. Tilg.
Weiterführende Links:
Lipocalin 2 drives neutrophilic inflammation in alcoholic liver disease. Wieser V, Tymoszuk P, Adolph TE, Grander C, Grabherr F, Enrich B, Pfister A, Lichtmanegger L, Gerner R, Drach M, Moser P, Zoller H, Weiss G, Moschen AR, Theurl I, Tilg H. J Hepatol. 2015 Dec 9. pii: S0168-8278(15)00797-7. [Epub ahead of print]
Lipocalin 2 and steatohepatitis. Gillian Patman. Nature Reviews Gastroenterology & Hepatology 13, 62 (2016), Published online 04 January 2016
Univ.-Klinik für Innere Medizin I
Details zur Medizinischen Universität Innsbruck
Die Medizinische Universität Innsbruck mit ihren rund 1.400* Mitarbeiter:innen und ca. 3.000 Studierenden ist gemeinsam mit der Universität Innsbruck die größte Bildungs- und Forschungseinrichtung in Westösterreich und versteht sich als Landesuniversität für Tirol, Vorarlberg, Südtirol und Liechtenstein. An der Medizinischen Universität Innsbruck werden folgende Studienrichtungen angeboten: Humanmedizin und Zahnmedizin als Grundlage einer akademischen medizinischen Ausbildung und das PhD-Studium (Doktorat) als postgraduale Vertiefung des wissenschaftlichen Arbeitens. An das Studium der Human- oder Zahnmedizin kann außerdem der berufsbegleitende Clinical PhD angeschlossen werden.
Seit Herbst 2011 bietet die Medizinische Universität Innsbruck exklusiv in Österreich das Bachelorstudium „Molekulare Medizin“ an. Seit dem Wintersemester 2014/15 kann als weiterführende Ausbildung das Masterstudium „Molekulare Medizin“ absolviert werden.
Die Medizinische Universität Innsbruck ist in zahlreiche internationale Bildungs- und Forschungsprogramme sowie Netzwerke eingebunden. Schwerpunkte der Forschung liegen in den Bereichen Onkologie, Neurowissenschaften, Genetik, Epigenetik und Genomik sowie Infektiologie, Immunologie & Organ- und Gewebeersatz. Die wissenschaftliche Forschung an der Medizinischen Universität Innsbruck ist im hochkompetitiven Bereich der Forschungsförderung sowohl national auch international sehr erfolgreich.
*vollzeitäquivalent
PR & Medien
Pressebilder zum Herunterladen:

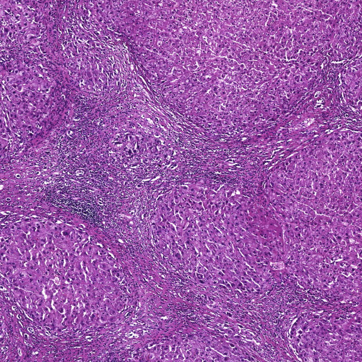
Mikroskopische Aufnahme einer durch chronischen Alkoholkonsum geschädigten Leber. Es zeigt sich ein zirrhotischer Umbau mit massiver Infiltration durch Entzündungszellen. (MUI/V.Wieser)

v.l.: Univ.-Prof. Dr. Herbert Tilg. Erstautorin Dr.in Verena Wieser und Mitautor Dr. Timon Adolph PhD. (MUI)
Für Rückfragen:
Univ.Prof. Dr.med.univ. Herbert Tilg
Universitätsklinik für Innere Medizin I
Tel.: +43 50 504 23540
E-Mail: Herbert.Tilg@i-med.ac.at
Medienkontakt:
Mag.a Doris Heidegger
Medizinische Universität Innsbruck
Abteilung für Öffentlichkeitsarbeit
Innrain 52, 6020 Innsbruck, Austria
Telefon: +43 512 9003 70083, Mobil: +43 676 8716 72083