AG Knochen / Knorpelgewebe ELMI
Priv.Doz. Dr.phil. Michael Blumer
Forschung
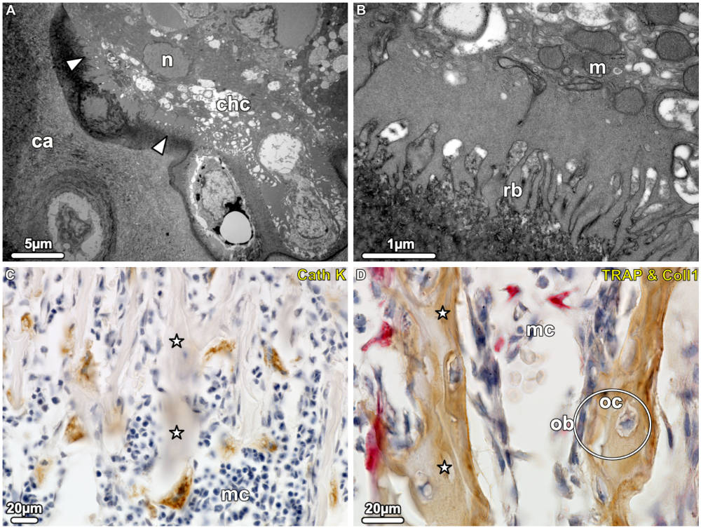
Bei Vertebraten entwickelt sich der überwiegende Teil des Skelets aus knorpeligen Anlagen, die aus dem Mesenchym hervorgehen. Die Voraussetzung für eine normale Knochenentwicklung ist das Einwachsen von Blutgefäßen, gekoppelt mit einem Abbau des Knorpel- und Aufbau des Knochengewebes. Diese Vorgänge kommen zum Erliegen sobald der ursprüngliche Knorpel vollkommen durch Knochen ersetzt ist. Das Wachstum der Knochen ist damit abgeschlossen.
Knorpelfische (Haie und Rochen) haben ein knorpeliges Skelett, welches – im Gegensatz zu den Vertebraten – zeitlebens knorpelig bleibt. Der knorpelige Kern des Skelets wird durch eine Schicht von mineralisierten Kacheln verstärkt, welche von einem straffen Bindegewebe umhüllt ist. Diese Architektur verleiht dem Skelett sowohl Steifheit als auch Elastizität und scheint die Grundlage zu sein, dass die Knorpelfische eine evolutionär überaus erfolgreiche Gruppe bilden.
Knorpelfische sind meistens unauffällig gefärbt, jedoch zeichnen sich einige wenige Arten aus der Gruppe der Rochen durch blaue Punkte auf ihrer Rückenseite aus. Diese Farbe beruht nicht auf Pigmenten, sondern entsteht durch zellulärer Strukturen, die das Licht streuen. Man spricht daher von einer Strukturfarbe. Welche Strukturen dafür verantwortlich sind, wird zusammen mit der Universität Hong Kong und dem Max-Planck-Institut für Kolloid und Grenzflächenforschung (Potsdam) untersucht.


